Call me back
Smile gallery




Composite Bonding and Whitening


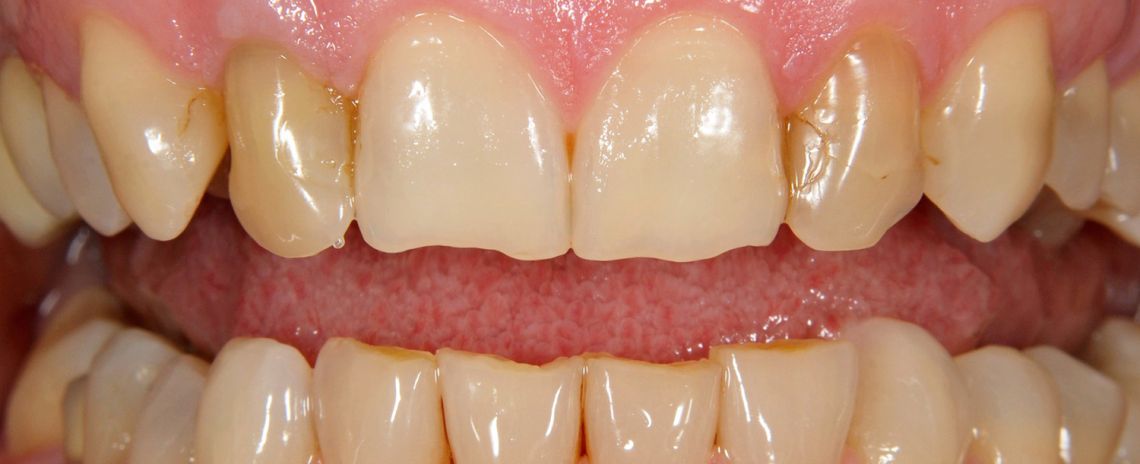
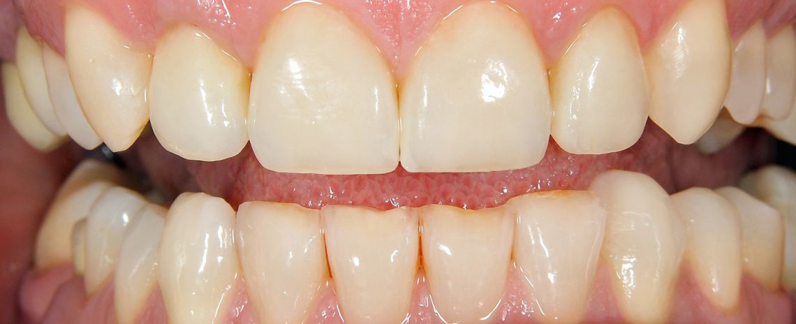
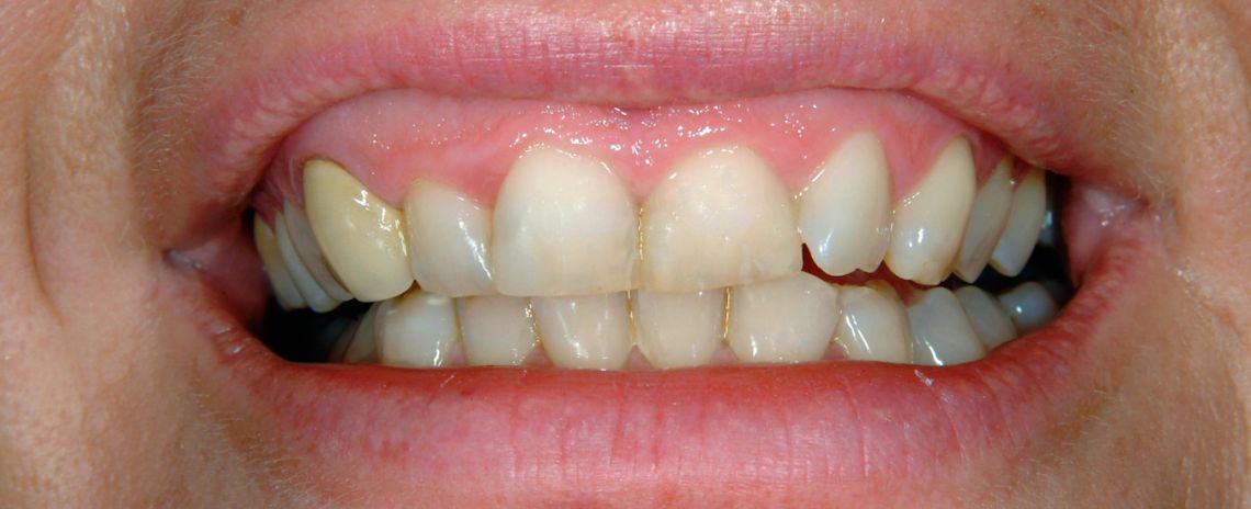
Crown


Crowns and Veneers


Gum Disease Clean


Hygiene Clean


Implant Denture


Teeth Straightening, Sculpting and Composite Bonding


Teeth Straightening and Whitening


Teeth Whitening


Veneers


Veneers

