
Call me back
We’re Accepting New Patients!
Looking for a caring and professional dental practice? We’re excited to welcome new patients to our clinic! Whether you’re due for a check-up, need treatment, or are looking to enhance your smile, our friendly team is here to help.
Contact us today to book your first appointment—we look forward to meeting you!
- Home
- Treatments
- Restorative dentistry
- Crowns
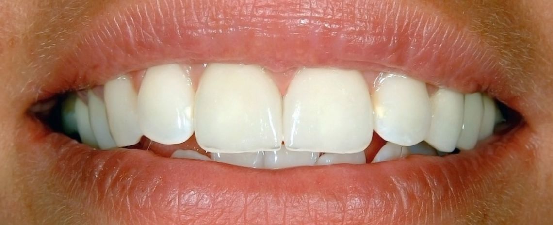
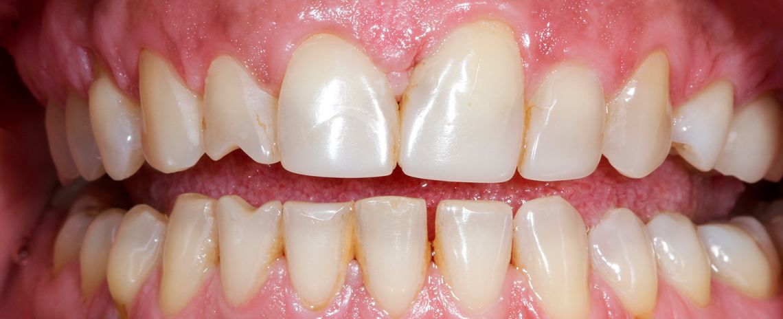
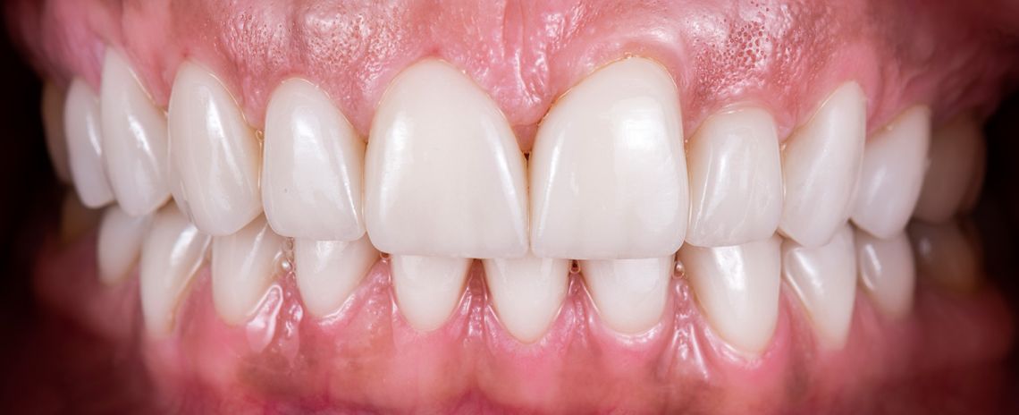
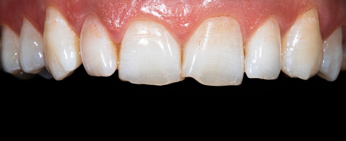
Crowns
Crowns are advised when it is necessary to protect, strengthen and restore teeth. They may also be used to cover discoloured or misshapen teeth to improve the overall appearance of your smile.
Available in a range of materials, our crowns permanently sit over the entire visible surface of your existing tooth and are made to look as real as your own natural tooth.
The procedure takes two appointments. At the first appointment, we minimally shape the tooth and place a temporary crown. About 14 days later at your second appointment, we remove the temporary crown, place your new crown and check the fit and your bite.
The crown can last for many years if good oral hygiene is maintained, depending on the condition of the original tooth. Additional care should be taken to keep the crown and surrounding area clean. Your Titchfield Dental Health dentist or dental hygienist will recommend an appropriate home care regime.
Related pages
Before and after







People are talking about us
The biggest complement we receive is when our patients refer their friends and family to Titchfield Dental Health. In fact, we have built much of our practice on these valued, trusted recommendations over the years. Read our reviews to hear why our patients are recommending us…
Patient reviews
864 Reviews
18th October 2025
Emergency appointment for an acute problem. Seen quickly expert treatment lovely staff- mix of professionalism and friendliness, reassurance and encouragement
Barrie Rickard
Titchfield Dental Health Ltd, is a modern well managed dental practice,. Of particularly note is Anya, who looks after all my Dental needs, Anya, deeply cares and great at keeping you fully informed/involved through any procedures. Anya helped where my daughter who has a real phobia of dental practices as toddler, good progress with trust. It feels like a family practice at the top of their game, everyone have met in the practice are professional and warm/welcoming. Keep it up!
15th October 2025
The Hygienist was welcoming, friendly and caring about my comfort during the treatment. She explained all aspects of the treatment and took time out at the finish to discuss teeth cleaning and follow up appointment. Reception offered me severl appointments for me to select from.
Teresa Davies
I’ve been a client for many years and always very happy with the care given on each visit.
14th October 2025
Very friendly , helpful staff . Hygienist explained the treatment before she started , time allowed to ask any questions , no hurry felt
11th October 2025
Extremely friendly welcome by the team
9th October 2025
Appointment was with the hygienist. On time. Lovely lady, takes great care and she’s skilled and competent at her job. Everyone at Titchfield is caring and excellent at their jobs. Highly recommend.
9th October 2025
Highly competent, always kind and helpful, never had a problem,
9th October 2025
Staff are so kind and understanding
9th October 2025
Friendly, welcoming and professional dental practice. I wouldn't want to go anywhere else.
9th October 2025
Really friendly helpful staff. Good communication and engagement with me as the patient
9th October 2025
All the staff at the surgery are so friendly and helpful. There is always laughter somewhere in the surgery which lightens the atmosphere, let's be honest, not many people enjoy the dental experience, but Titchfield make it so much easier.The reception area is clean and comfortable and treatment rooms light and clean.
7th October 2025
Friendly atmosphere, engaging staff and highly professional
7th October 2025
The staff, everyone is very friendly and you never feel like a number.
G Johnson
A highly professional team and personnel experience to make you feel welcome and looked after by their dentists and colleagues I will continue to use this dentist moving forward in the future Many thanks
3rd October 2025
My needs were very well understood and in a very professional way several solutions/options were explained in a very straight forward way that I understood
3rd October 2025
Kind and thorough treatment
3rd October 2025
Always helpful & knowledgeable- I like that they suggest options but never push you to have any treatment you don’t want or can afford. Love the cleanliness of the practice & welcoming of reception staff
27th September 2025
I just think my dentist RIck is fantastic
26th September 2025
My hygienist is always friendly, knows me and I feel comfortable knowing Im in capable hands