Call me back
All-on-4™ implant secured dentures
Serving patients throughout Southampton, Fareham and Park Gate
Also referred to as Same Day Smile, All-on-4™ is a revolutionary dental implant treatment offering you natural looking teeth, secure and ready for use in a single day.
What are implant secured dentures?
Putting it simply, dental implants are artificial roots inserted into the jaw to replace the root of a lost tooth. They are then used to securely fix replacement teeth with a bridge or denture. Traditionally, between six to ten implants are needed to secure a full arch of teeth. During the healing period of up to six months, temporary teeth are fitted and patients are required to avoid excessive pressure until the implants heal enough for their permanent teeth to be attached.
The All-on-4™ difference
Recent developments have resulted in an exciting new procedure - All-on-4™. It allows replacement teeth to be secured using far fewer implants than before. As the name suggests, with All-on-4™, only four implants are required to anchor a bridge or denture. The secret is in the angle of implantation, which increases the strength of the implant so fewer are needed. The permanent replacement teeth can also be fixed on the same day, allowing you to leave Titchfield Dental Health with a full set of new teeth, securely intact and ready to use!
With All-on-4™ dental implants, you could soon be enjoying teeth that are fixed so securely you’ll forget they’re not the ones you were born with. You’ll be able to relax and eat the things you enjoy, all with the absolute confidence that your teeth won’t slip!
All-on-4™ benefits:
- Feels utterly natural - All-on-4™ anchors teeth so securely, you’ll soon forget they’re not the ones they were born with
- Same day smile - Walk out of the dental surgery with a full set of fixed replacement teeth the same day you walked in!
- A lasting smile - For replacement teeth that are durable and extremely long lasting
- Simpler and quicker - Uses only four implants to anchor a full arch of replacement teeth
 
							
						Our implant dentist, our dentist, has been transforming lives with trusted and highly technical dental implant skills for a number of years. To discuss your individual requirements and treatment options book a consultation with our dentist by calling the reception team on 01489 581158.
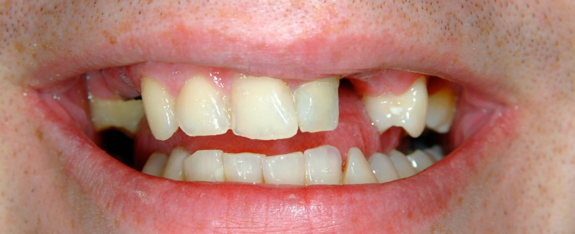
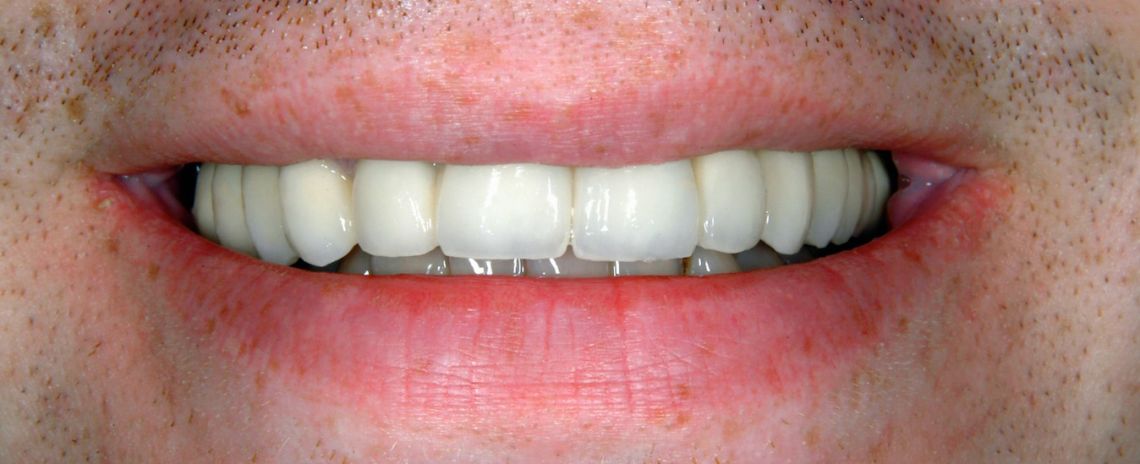
Before and after
 
 		People are talking about us
The biggest complement we receive is when our patients refer their friends and family to Titchfield Dental Health. In fact, we have built much of our practice on these valued, trusted recommendations over the years. Read our reviews to hear why our patients are recommending us…
 
                     
                     
									 
								 
					 
					 
					 
					