Call me back
Dentures
Dentures are used to replace the function and appearance of natural teeth and restore your smile. Whether you are missing one tooth or many, we can carefully design a solution that’s right for you.
At Titchfield Dental Health our dentures are durable and long-lasting, enable you to eat more foods and chew more easily, and help avoid further tooth loss.
Your dentist will work alongside a team of experienced clinical dental technicians to carefully craft bespoke, natural dentures designed for your comfort, function and longevity.
Made from the highest quality acrylic resin using next-generation digital design and production tech, Dentures from Titchfield Dental Health are the ultimate non-permanent solution to missing teeth. This master craftsmanship and premium materials ensures each set of dentures is indistinguishable from beautiful natural teeth.
We offer a range of dentures to meet your individual needs:


Full dentures
Full dentures from Titchfield Dental Health in Southampton are carefully designed for a millimetre perfect fit, ensuring a comfortable and non-slip fit for years to come. They are the recommended option for replacing a full row or arch of teeth. Our full dentures are designed to look and function just like natural teeth.
Partial dentures and overdentures
When missing teeth cause a gap in the smile, partial dentures, or overdentures, are a functional, lifelike replacement. We offer an extensive range of materials and colour options to match partial dentures to your existing teeth. They are an effective and reliable way to restore both function and aesthetics and give you your confidence back.
Implant-retained dentures
For the ultimate in comfort and convenience, ask your Titchfield Dental Health dentist about implant-retained dentures. With this solution your denture is secured in place using one or several secure titanium implants in the jaw. These securely anchoring your denture in place so you no longer have to worry about slippages, discomfort and the daily fight with adhesive.
If you are looking for dentures in Southampton, Fareham and Park Gate and want to know more about your options, get in touch to arrange a consultation at Titchfield Dental Health.
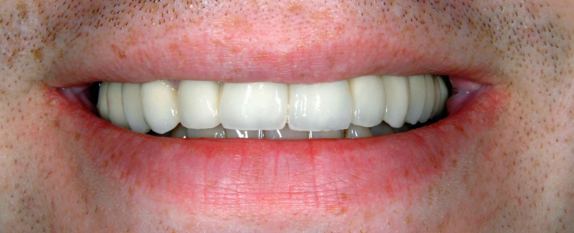
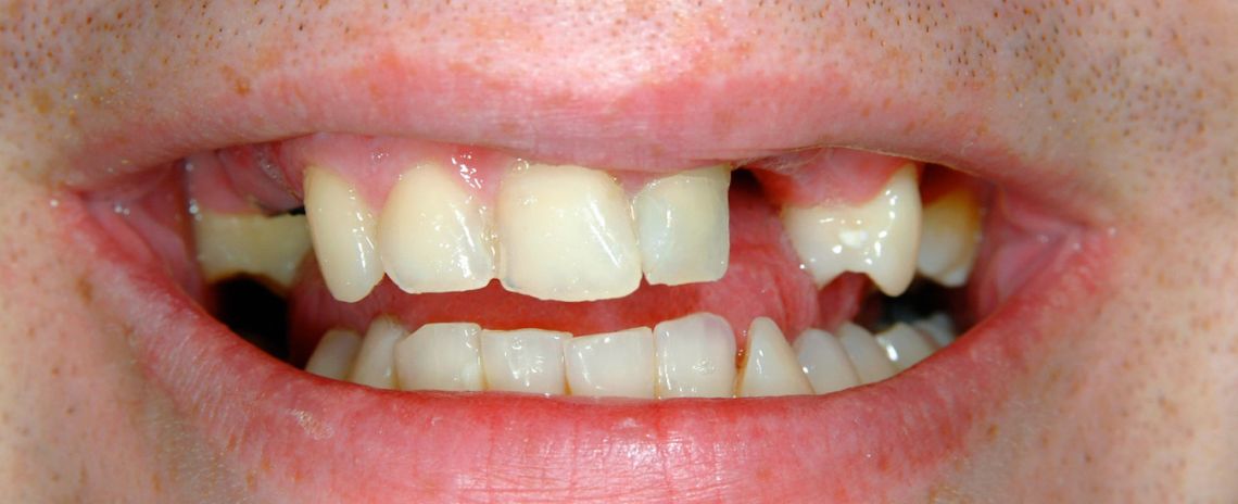
Before and after

People are talking about us
The biggest complement we receive is when our patients refer their friends and family to Titchfield Dental Health. In fact, we have built much of our practice on these valued, trusted recommendations over the years. Read our reviews to hear why our patients are recommending us…