
Call me back
We’re Accepting New Patients!
Looking for a caring and professional dental practice? We’re excited to welcome new patients to our clinic! Whether you’re due for a check-up, need treatment, or are looking to enhance your smile, our friendly team is here to help.
Contact us today to book your first appointment—we look forward to meeting you!
- Home
- Treatments
- Dental hygiene
- Airflow stain removal
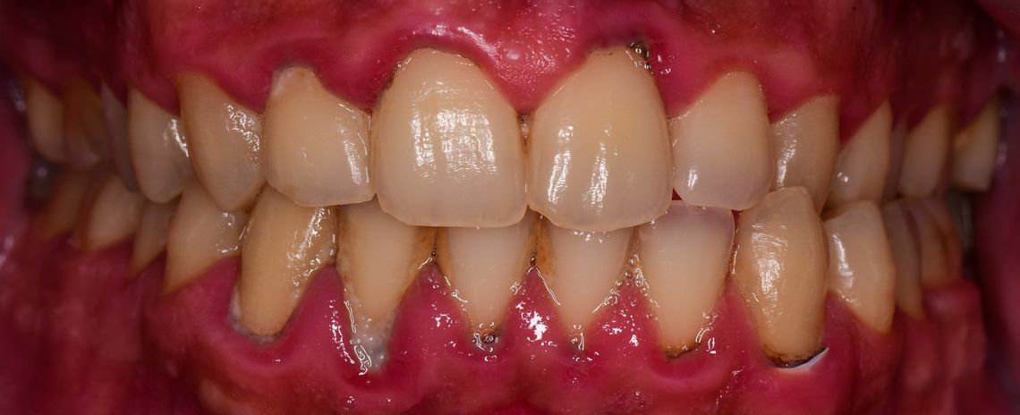
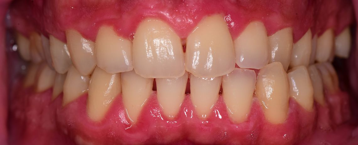
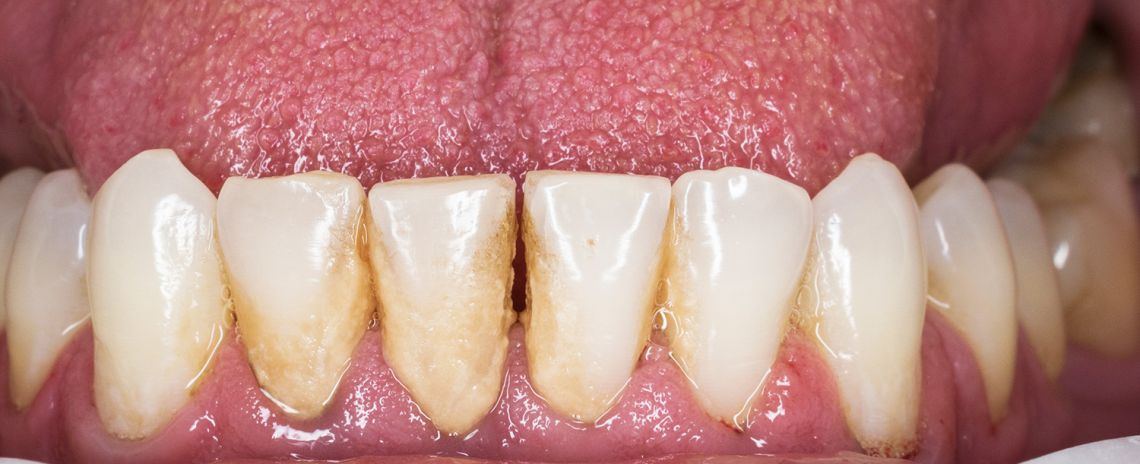
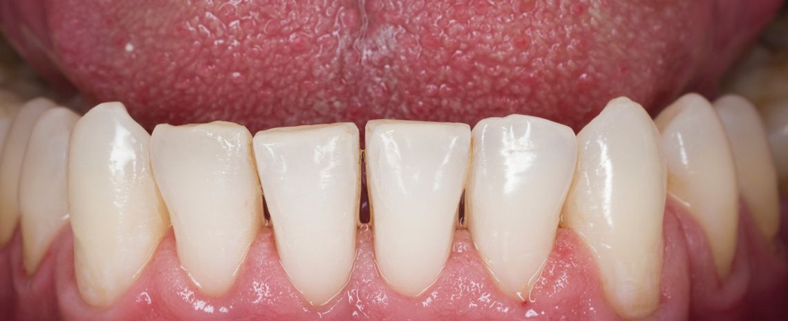
Airflow stain removal
Restore your natural, bright smile with Airflow stain removal at Titchfield Dental Health.
In less than 30 minutes, your teeth will be completely rejuvenated by this advanced cleaning system which brightens your smile and freshens your breath.
While traditional cleaning methods remove plaque from the tooth’s surface and gum-line, the Airflow cleaning system also eradicates stains and leaves teeth noticeably brighter.
The system uses a jet of water, compressed air, and fine powder particles to clean the teeth and remove staining. No instruments are used on the tooth’s surface, doing away with the ‘scaling and polishing’ technique that can cause discomfort or sensitivity.
If you would like to experience cleaner teeth and fresher breath, give us a call on 01489 581158.
Related pages
Before and after





People are talking about us
The biggest complement we receive is when our patients refer their friends and family to Titchfield Dental Health. In fact, we have built much of our practice on these valued, trusted recommendations over the years. Read our reviews to hear why our patients are recommending us…
Patient reviews
850 Reviews
G Johnson
A highly professional team and personnel experience to make you feel welcome and looked after by their dentists and colleagues I will continue to use this dentist moving forward in the future Many thanks
3rd October 2025
My needs were very well understood and in a very professional way several solutions/options were explained in a very straight forward way that I understood
3rd October 2025
Kind and thorough treatment
3rd October 2025
Always helpful & knowledgeable- I like that they suggest options but never push you to have any treatment you don’t want or can afford. Love the cleanliness of the practice & welcoming of reception staff
27th September 2025
I just think my dentist RIck is fantastic
26th September 2025
My hygienist is always friendly, knows me and I feel comfortable knowing Im in capable hands
25th September 2025
Friendly and very efficient service.
25th September 2025
Friendly competent staff in all departments
24th September 2025
Managed to get an appointment the next day, even though it wasn't an emergency. Friendly staff all around. very quick turnaround on making the new retainer - it was ready hours later!
24th September 2025
I was given a quick appointment and all the treatment was carried out in one go
21st September 2025
There are no words to this amazing dentist and Lynsey and Rick are outstanding individuals. They have kept me on track with attending on a regular basis.. the team around do an amazing role. Thank you
Rachel
Fantastic dental practice! Always so warm and welcoming. Lovely reception staff, nurses and dentists. In particular, Dr. Anya was absolutely brilliant with our young son and made his appointment very special. Thank you so much to all the amazing team and we look forward to seeing you all again.
17th September 2025
From the moment you enter you are greeted by lovely reception team. Rick and his nurse puts you at ease.
ruth davies
If you’re nervous about going to the dentist then this is the place to try. The staff are great at putting you at ease and they so friendly and non-judgmental. I wouldn’t go anywhere else.My smile is much improved.
16th September 2025
I always become very nervous at the dentist and never feel comfortable. But I can say that every member of staff at titchfield dental make me feel calm and comfortable every step of the way. The dentist I have is so lovely. I couldn’t recommend highly enough!
16th September 2025
All staff very friendly. Procedures on the day explained and future procedures also covered.
13th September 2025
The friendliness of the staff and how they put an anxious patient at ease, with their calm informative approach. Anya made me feel safe. I could raise my hand at anytime for a break, the treatment was unrushed. The outcome exceeded my expectations.
Dave Fryer
Amazing treatment from Anya and Jenny today. I’m an extremely anxious patient but they both make me feel safe, with an appropriate use of humour to lighten my tense feelings. Thank you
12th September 2025
Linda was fantastic she listened to what I wanted and the results are perfect.
12th September 2025
All staff treated me with care and respect
Why choose us?

Disabled
Access

Five Star
Patient Journey

Invisalign
Provider

Digital
Dentistry
