Call me back
Invisalign clear aligners
Serving patients throughout Southampton, Fareham and Park Gate
Invisalign is the revolutionary clear aligner which straightens with discretion, comfort and ease.
With results at in as little as 3 - 6 months (depending on the complexity of movement required), this trusted system has successfully transformed over 10 million smiles so far... and counting!
Benefits of Invisalign clear aligners from Titchfield Dental Health in Southampton:
Removable Life can continue as normal, as the Invisalign System discreetly does its work. As Invisalign aligners are removable, it’s easy to maintain your regular oral hygiene and enjoy your usual diet. You should simply wear your aligners for the recommended 22 hours a day to see the best results.
Comfortable Only Invisalign clear aligners use SmartTrack material to shape your smile with such precision, comfort and predictability. SmartTrack material is highly elastic for an improved aligner fit and greater comfort.
Near invisible Invisalign clear aligners are so discreet, it will be difficult to notice you are undergoing teeth straightening treatment.
The Invisalign treatment process is straightforward and technically advanced:
- Consultation and planning After an initial consultation, our Invisalign dentist, our dentist will take photos, X-rays and digital scans, or a dental impression, of your teeth. These records will be used to create a ClinCheck 3D treatment plan, just for you. ClinCheck technology digitally maps your entire Invisalign journey, so you can see what your new smile is predicted to look like before treatment even begins.
- Transformation We’ll then custom make your aligners using state of the art 3D printing technology, before our dentist provides you with your initial sets of aligners, to start your treatment. You’ll need to wear each aligner for 1-2 weeks before changing to the next, to slowly and efficiently move the teeth inline. our dentist will see you every 4–6 weeks to check your progress and provide you with your next sequence of aligners.
- Retaining your new smile Once your new smile is achieved, you’ll need to wear a retainer to ensure your teeth remain beautifully aligned. Retainers can either be removable clear trays, similar to a mouth guard, or a fixed retainer which are discreetly attached to the back of the teeth for continual support.
If you are looking for Invisalign clear aligners in Southampton, Fareham and Park Gate and want to know more about your options, get in touch to arrange a consultation at Titchfield Dental Health.
Meet the team
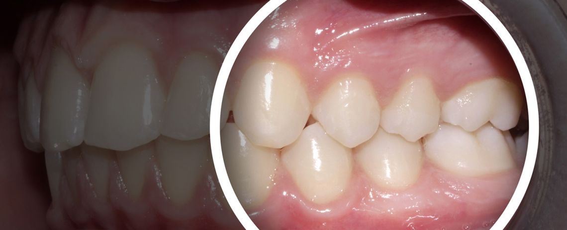
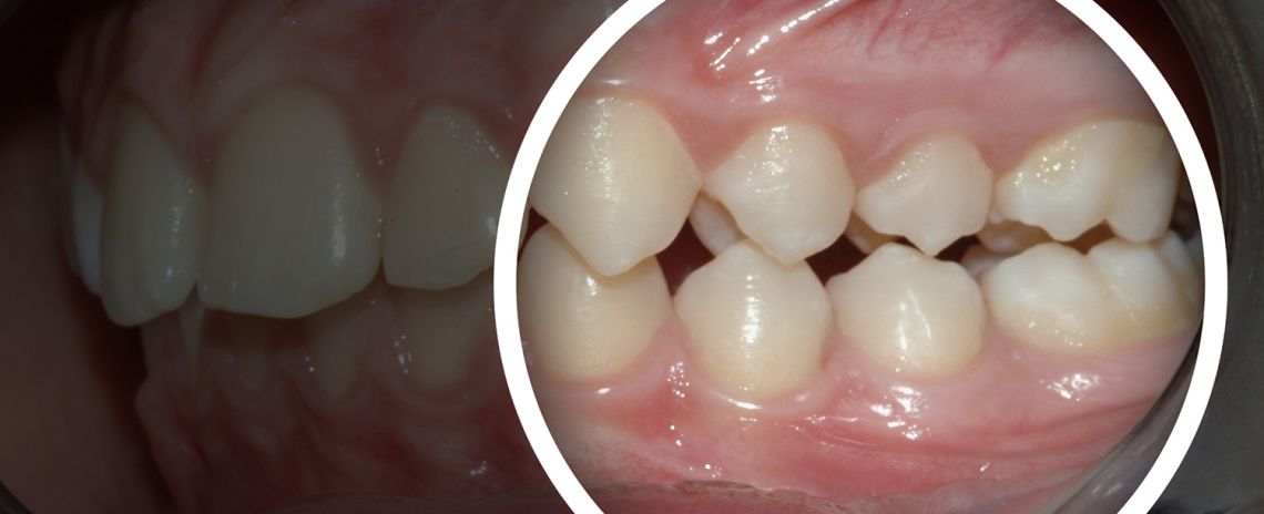
Before and after

People are talking about us
The biggest complement we receive is when our patients refer their friends and family to Titchfield Dental Health. In fact, we have built much of our practice on these valued, trusted recommendations over the years. Read our reviews to hear why our patients are recommending us…